Сколько можно пить газировки без вреда для здоровья?
Что случилось?
Ничего особенного. Просто многие люди очень любят газировку - например, колу (под колой мы подразумеваем тип напитка, а не бренд). При этом известно, что такие напитки вредят здоровью. Правда, некоторые люди считают, что вредоносность газировки не стоит преувеличивать, а иногда она и вовсе помогает. Мы попросили врача Артемия Охотина рассказать, сколько можно выпить колы без вреда для здоровья.
Кола правда может проделать дыру в желудке?
Нет. То, что кола может разъесть стенку желудка - это миф. Кислотность колы ниже, чем у желудочного сока. И данных о том, что язва желудка или гастрит связаны с употреблением колы, тоже нет.
То есть кола на самом деле ничего не растворяет?
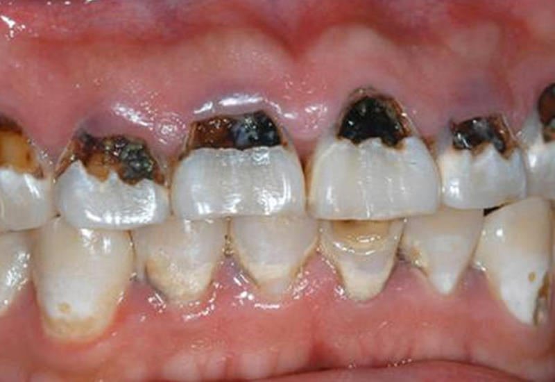
Нет, действительно растворяет. Она содержит фосфорную кислоту и может вымывать кальций из зубов, разъедая эмаль. А сахар способствует развитию кариеса. Описаны случаи тяжелого поражения зубов при длительном употреблении колы в больших количествах. Вот во что превратились зубы мужчины, который выпивал каждый день по полтора литра колы в течение нескольких лет.
Но он при этом плохо чистил зубы и имел привычку полоскать колу во рту, перед тем как ее глотать. Если не злоупотреблять колой, чистить зубы и ходить к стоматологу, такое вам не грозит.
В чем тогда главный вред колы? В консервантах?
Нет. Основной вред в том, что она очень калорийна. Банка колы объемом 330 мл содержит 35 граммов сахара - девять чайных ложек. Сахар относится к легкоусвояемым углеводам. Установлена связь между употреблением легкоусвояемых углеводов, в том числе в составе газировки, и риском ожирения и сахарного диабета.
Говорят, ученые уже опровергли эту связь.
Да, есть работы, подвергающие сомнению связь между потреблением сахара и эпидемией ожирения. Авторы этих работ считают основной причиной ожирения малоподвижный образ жизни. Проблема, по их мнению, не в том, сколько потреблять калорий, а в том - сколько тратить. Но недавно выяснилось, что многие ученые, защищающие такую точку зрения, довольно тесно связаны с компанией Coca-Cola. Это подрывает доверие к их работам.
А что вреднее - Кока-Кола или Пепси?
Напрямую никто не сравнивал. На самом деле, нет даже данных о вреде конкретного напитка. В большинстве исследований изучалось влияние на здоровье газированных напитков без уточнения марки. Но все они очень близки по содержанию сахара и кислотности. Когда говорят о вреде газировки, то чаще всего упоминают именно колу, просто потому что кола наиболее популярна.
А диетические газированные напитки безопасны?
И тут все сложно. Вместо сахара они содержат искусственные подсластители вроде аспартама. Калорийность их близка к нулю, поэтому сами по себе они не могут вызывать ожирение. Но сейчас появились данные, что именно из-за этого они могут нарушать метаболизм. Организм чувствует сладость, но не получает калорий, в результате нарушается механизм насыщения, а тяга к сладкому растет. Есть данные, что потребление диетической колы только способствует ожирению, но этот вопрос пока изучен недостаточно.
Правда, что кола помогает от живота?
Во многих странах теплая или отстоявшаяся кола служит домашним средством при расстройствах пищеварения. Но научных доказательств ее эффективности нет. Врачи не рекомендуют использовать колу при обезвоживании на фоне кишечных инфекций, особенно у детей: она содержит слишком мало натрия и слишком много сахара. Единственная болезнь, при которой кола действительно эффективна - это фитобезоары - клубки из растительных волокон, образующиеся в желудке при употреблении некоторых фруктов, например, незрелой хурмы.
Так сколько можно пить колы без вреда для здоровья?
В соответствии с большинством рекомендаций простые углеводы должны составлять не более 10% от общей калорийности рациона. Это означает, что средний мужчина может употреблять в день до девяти ложек сахара, женщина - до шести ложек, а ребенок - до трех. Выходит, что мужчина может выпивать банку колы (330 мл), женщина - стакан (200 мл) - и то, это при условии, что они не добавляют сахар в чай и кофе и не едят сладости. А детей лучше вовсе оградить от сладких напитков.
Так что, вообще все сладкое вредно?
Нет, не все. Вредным считается так называемый добавленный сахар, то есть не содержащийся в продуктах в естественном виде. Углеводы, содержащиеся в сладких фруктах и овощах, вредными не считаются. Мед, коричневый сахар и фруктоза ничуть не полезнее обычного сахара.
Что делать, если я очень люблю газировку? Отказаться полностью?
Нет. Просто надо соблюдать баланс между пользой и радостями жизни. Надеемся, что прочтя наши карточки, вы не перестанете получать удовольствие от колы, но будете проявлять умеренность и, может быть, начнете заниматься спортом. И главное: никогда не запивайте колой леденцы Mentos.
Заметили ошибку в тексте? Выберите текст и сообщите нам, нажав Ctrl + Enter на клавиатуре