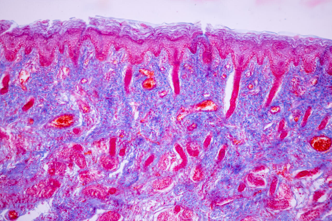
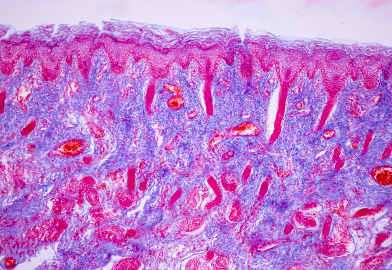
Найден способ ускоренного превращения обычных клеток в стволовые
Компания OpenAI анонсировала новое достижение в области биотехнологий: ученые организации запрограммировали искусственный интеллект GPT-4b, который может проектировать белки, на превращение обычных клеток в стволовые. Результаты исследования опубликованы в журнале MIT Technology Review, передает Day.Az со ссылкой на Gazeta.ru.
Разработка была осуществлена в сотрудничестве с биотехнологическим стартапом Retro Biosciences, и уже показала впечатляющие результаты в повышении эффективности так называемых факторов Яманаки - белков, ответственных за перепрограммирование клеток.
Стволовые (недифференцированные или незрелые) клетки обладают способностью превращаться в различные типы клеток органов и тканей - кожи, крови или миокарда. Это свойство обусловливает их применение в области регенеративной медицины, где они могут быть использованы для восстановления поврежденных тканей или выращивания органов для трансплантации. Стволовые клетки также имеют огромный потенциал в лечении возрастных заболеваний и травм.
Согласно данным OpenAI, использование GPT-4b позволило повысить эффективность ключевых белков в процессе перепрограммирования клеток в стволовые более чем в 50 раз по сравнению с традиционными методами.
Проект был инициирован Retro Biosciences, стартапом, направленным на изучение способов увеличения продолжительности жизни человека. Крупнейшим инвестором Retro Biosciences является генеральный директор OpenAI Сэм Альтман.
По словам ученых, разработка GPT-4b подтверждает потенциал ИИ не только в анализе данных, но и в создании научных открытий, что приближает человечество к созданию искусственного общего интеллекта (AGI). В то же время, пока GPT-4b остается в статусе демонстрационной версии, и результаты ее работы еще предстоит проверить независимым экспертам.
Заметили ошибку в тексте? Выберите текст и сообщите нам, нажав Ctrl + Enter на клавиатуре