Раскрыт механизм, предотвращающий аутоиммунные заболевания
Американские ученые из Чикагского университета обнаружили, как иммунная система избегает атак на собственные клетки организма, предотвращая развитие аутоиммунных заболеваний. Исследование опубликовано в научном журнале Science, передает Day.Az со ссылкой на Gazeta.ru.
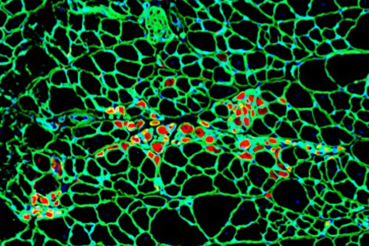
Иммунная система должна точно распознавать чужеродные патогены, такие как бактерии и вирусы, и не атаковать собственные клетки организма. За это отвечают дендритные клетки, которые представляют антигены (фрагменты белков) Т-хелперам (Tconv). Если антиген чужеродный, Т-хелперы активируются для борьбы с инфекцией. Если антиген принадлежит организму, иммунный ответ должен быть подавлен.
Однако при аутоиммунных заболеваниях этот механизм нарушается, и иммунная система начинает атаковать собственные ткани. Чтобы этого не происходило, регуляторные Т-клетки (Treg) действуют как "миротворцы", предотвращая нежелательные атаки.
Исследование показало, что Treg-клетки обладают специфичностью: они обучены распознавать определенные собственные пептиды. Когда дендритные клетки представляют такие пептиды, Treg-клетки вмешиваются, чтобы остановить активацию Т-хелперов.
Ученые провели эксперименты на мышах, удалив Treg-клетки, специфичные к пептиду простаты. В обычных условиях это не вызывало аутоиммунитета, но при заражении бактерией, экспрессирующей тот же пептид, у мышей развивалось аутоиммунное поражение простаты. При этом Т-хелперы продолжали эффективно бороться с инфекцией.
Открытие может стать основой для новых методов лечения аутоиммунных заболеваний, таких как ревматоидный артрит, рассеянный склероз и диабет 1 типа. Ученые предполагают, что усиление или восстановление функции Treg-клеток может помочь предотвратить или обратить вспять аутоиммунные реакции.
Заметили ошибку в тексте? Выберите текст и сообщите нам, нажав Ctrl + Enter на клавиатуре