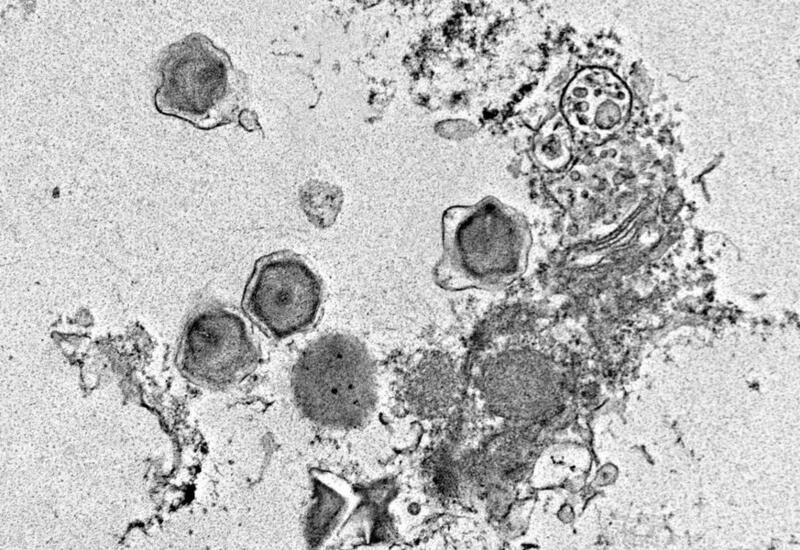
Ученые открыли сотни новых гигантских вирусов
Американские ученые из Школы морских и атмосферных наук Розенштиля при Университете Майами совершили прорыв в изучении морских вирусов, обнаружив 230 ранее неизвестных видов гигантских вирусов. Эти микроскопические гиганты, как выяснилось, играют ключевую роль в жизни океана - от контроля численности водорослей до влияния на глобальные пищевые цепи.
Как передает Day.Az со ссылкой на Gazeta.ru, результаты исследования опубликованы в научном журнале NPJ Viruses.
С помощью инновационного биоинформатического инструмента BEREN специалисты проанализировали данные девяти международных океанографических проектов.
Неожиданным открытием стало обнаружение у вирусов генов, ответственных за фотосинтез и метаболизм углерода - функций, которые раньше считались исключительной прерогативой клеточных организмов.
"Эти вирусы - настоящие манипуляторы. Во время заражения они могут перестраивать метаболизм хозяина, фактически превращая его в "фабрику" по производству вирусных частиц", - объяснил ведущий автор исследования Бенджамин Минч.
Для обработки огромных массивов данных команда использовала суперкомпьютер Pegasus. Это позволило выявить 530 новых вирусных белков, обнаружить девять фотосинтетических белков у вирусов и создать первую подробную карту взаимодействия гигантских вирусов с морскими микроорганизмами.
Открытие имеет практическое значение для борьбы с красными приливами - опасным цветением водорослей, которое ежегодно наносит ущерб прибрежным районам Флориды и других регионов мира.
Заметили ошибку в тексте? Выберите текст и сообщите нам, нажав Ctrl + Enter на клавиатуре
