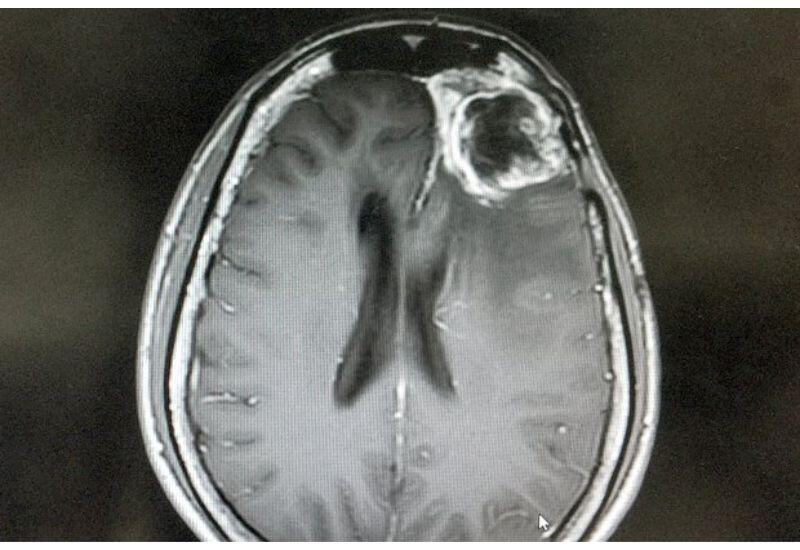
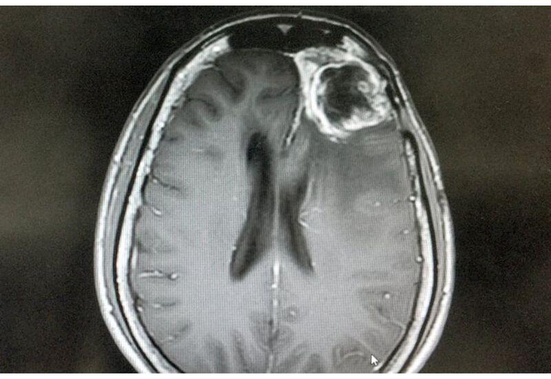
Найден способ замедлить рост агрессивного рака
Глиобластома, один из самых агрессивных видов рака мозга, использует глюкозу иначе, чем здоровые клетки. Исследование, опубликованное в Nature, показало: вместо получения энергии и синтеза нейромедиаторов опухоль перенастраивает сахарный обмен, превращая глюкозу в строительные блоки ДНК и РНК. Это ускоряет деление и распространение раковых клеток, передает Day.Az со ссылкой на Lenta.ru.
Ученые проследили метаболизм с помощью меченой глюкозы у пациентов и мышей с опухолями. В коре мозга углерод из сахара использовался для цикла Кребса и работы нейротрансмиттеров, тогда как опухоль отключала эти процессы и добирала недостающие ресурсы из аминокислот, особенно серина.
Когда мышей переводили на диету с ограничением серина и глицина, глиобластома теряла часть топлива для синтеза нуклеотидов. В результате ее рост замедлялся, а стандартные химио- и радиотерапия становилась более эффективными.
Авторы отмечают, что пока это только доклинические данные, но они открывают перспективы для создания новых диетических и терапевтических подходов, способных сделать лечение глиобластомы более результативным.
Заметили ошибку в тексте? Выберите текст и сообщите нам, нажав Ctrl + Enter на клавиатуре
