Стало известно, как восстанавливается вкус после травм и заболеваний

Южнокорейские исследователи выяснили, почему после травм и заболеваний вкус способен восстанавливаться, а некоторые его оттенки - например, сладкий - сохраняются дольше других. Открытие позволит понять механизмы регенерации вкусовых рецепторов и в будущем поможет людям с нарушениями вкуса.
Как передает Day.Az, работа опубликована в журнале International Journal of Oral Science (IJOS).
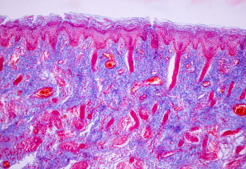
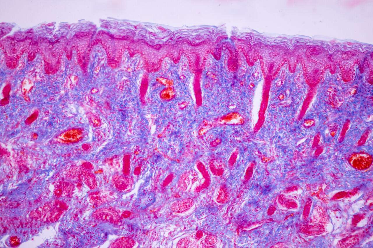
Как объясняют авторы, вкусовые сосочки - крайне хрупкая структура, тесно связанная с нервными волокнами. При их повреждении рецепторы вкуса обычно погибают, но позже восстанавливаются вместе с нервами. До сих пор оставалось неясным, какие именно клетки и молекулы запускают этот процесс.
Ученые выяснили, что чувствительные к сладости клетки вкусовых рецепторов обладают уникальной способностью выживать после травм благодаря белку c-Kit. Именно они служат своего рода точкой опоры для последующей регенерации вкусовых почек.
В экспериментах на мышах и в культурах органоидов исследователи временно блокировали работу c-Kit при помощи противоопухолевого препарата иматиниба. В результате "сладкие" клетки исчезали, а процесс восстановления вкусовых почек резко замедлялся. Без их участия остальные вкусовые клетки не могли регенерировать.
"Наши результаты показывают, что клетки, реагирующие на сладкий вкус, не просто выживают после повреждения, но и играют ключевую роль в восстановлении всей структуры вкусовых почек, - объяснил профессор Ен Тэк Чон из Медицинского колледжа Корейского университета. - Кроме того, мы обнаружили, что часть других клеток приобретает свойства стволовых и участвует в заживлении тканей вокруг рецепторов".
Заметили ошибку в тексте? Выберите текст и сообщите нам, нажав Ctrl + Enter на клавиатуре